門前仲町 加賀歯科医院のインスタグラムでは、ひとりひとりに合わせた治療を提供しています。 医院にもっと親しみをもっていただけるような情報を配信しています!
Skip to Content
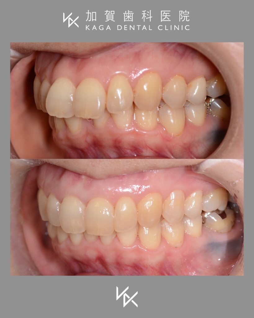
インビザライン矯正の症例です✨ 治療期間は3年間でした🦷 上の歯の突出感がなくなり、横顔もとても綺麗になりました💕 今後はリテーナーを使って後戻りを防止していただきます😆 @kaga_dentalclinic👈他の投稿はこちらから🪽 #加賀歯科医院 #門前仲町 #インビザライン =========================== 加賀歯科医院 東京都江東区富岡1丁目5−5 📞 03-6240-3300 診療時間 9:00〜19:00 ===========================
♥15
2025.02.12
インスタグラムで投稿を見る
これまで上は総入れ歯を使用されていましたが、
「ホワイトニングって、私の歯でも白くなるのかな?」
親知らずを抜歯した患者さまから、Xに歯の写真を投稿したらこんなにバズってネットニュースにもなりました!と教えていただきま
今年も患者さまに安心して通院していただけるようスタッフ一同努めて参ります。
【ブルーラジカル説明会】